IN THE PRESS
Exclaro-Tridan - Startup Community Awards Finaliste 2024
Fondée en septembre 2022, Exclaro-Tridan, une entreprise québécoise innovante, conçoit des dispositifs de test rapide à partir de salive, urine ou de sang pour évaluer l’état de santé d’un individu.
Le cancer mieux traité grâce à une sonde d’ici
Une sonde pouvant détecter des tissus cancéreux invisibles à l’oeil nu, conçue et développée au Québec depuis 10 ans, pourrait bientôt révolutionner les blocs opératoires.
race on to roll out rapid covid-19 testing
A real estate executive and a microbiologist join forces to help speed up vprocess
Un Louperivois aux trousses des cellules cancéreuses
Le nom du Louperivois Frédéric Leblond ne vous est peut-être pas familier, mais dans le domaine de la recherche médicale, il est sur toutes les lèvres. C’est que le chercheur, professeur en génie physique à Polytechnique Montréal, a conçu une sonde optique permettant de littéralement traquer les cellules cancéreuses, rien de moins.
Une sonde détecte toutes les traces de cancer
Une sonde optique qui permet de détecter des cellules cancéreuses de façon infaillible, avec une précision de 100 %, a été mise au point par des chercheurs québécois.
Fibre-optic device can detect stray cancer cells, improve tumour removal: study
A fibre-optic probe can detect errant cancer cells within healthy tissue during brain tumour surgery with close to 100 per cent accuracy and sensitivity, reducing the risk of recurrence and thereby increasing a patient's survival time, say the Canadian researchers who developed the device.
Quand le chercheur conquiert les marchés
Une sonde portative pour détecter plus de 90 % des cellules cancéreuses invasives en temps réel pendant une intervention chirurgicale au cerveau. C’est ce qu’a mis au point Frédéric Leblond, professeur au département de génie physique de Polytechnique Montréal, en collaboration avec le Dr Kevin Petrecca, chef du service de neurochirurgie de l’Institut et hôpital neurologiques de Montréal (Neuro) de l’Université McGill. Les professeurs croient au potentiel commercial de la sonde et ont décidé de l’amener sur le marché. Un processus complexe qui compte plusieurs étapes. Ils ont accepté de raconter leur histoire.
Créer une entreprise à l'université
De plus en plus d'universités mettent sur pied des projets pour se rapprocher des entreprises et stimuler l'innovation. Ce soutien permet à des étudiants et chercheurs de créer des entreprises à partir de résultats de recherche et à la communauté d'affaires d'avoir accès au savoir et aux équipements de l'université.
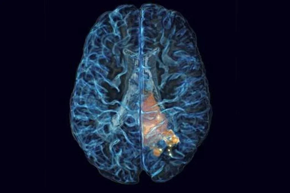
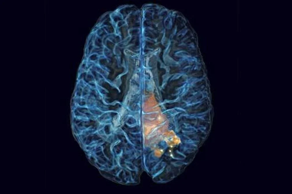
New surgical tool improves outcomes for brain cancer patients
Leading engineers and brain cancer researchers in Montreal have teamed up to develop a unique cancer-detection tool that will improve the outcome of cancer patients undergoing brain cancer surgery – and that also has the potential to revolutionize the fight against all types of cancer.
Nouvel outil contre le cancer du cerveau
Une méthode de détection du cancer mise au point par des chercheurs de l'Institut et hôpital neurologiques de Montréal, le Neuro, pourrait permettre aux personnes atteintes du cancer du cerveau de vivre plus longtemps.
Le Dr Kevin Petrecca et ses collègues ont conçu une sonde peropératoire puissante pour détecter des cellules cancéreuses. Grâce à la sonde portative de spectroscopie Raman, les chirurgiens peuvent maintenant détecter avec précision presque toutes les cellules cancéreuses invasives en temps réel durant l'opération.
Percée dans l’ablation des tumeurs au cerveau
L’Institut et Hôpital neurologiques de Montréal — le Neuro de l’Université McGill et Polytechnique Montréal ont annoncé la semaine dernière la mise au point d’une sonde permettant de détecter des cellules cancéreuses lors de l’ablation d’un type particulier de tumeur du cerveau. À terme, les chances de survie du patient s’en trouveraient grandement améliorées.
De l'espoir pour le cancer du cerveau
Des chercheurs de l'Université McGill et de l'École polytechnique ont mis au point un lecteur optique qui permet de détecter des quantités infimes de cellules cancéreuses dans le cerveau. Leur découverte pourrait être utilisée en chirurgie oncologique afin d'éviter le risque de rechute pour les patients qui souffrent de ce type de cancer, dont le pronostic est particulièrement sombre.
Fibre-optic device could advance brain tumour surgery
TORONTO -- Canadian researchers have developed a fibre-optic probe they believe could help neurosurgeons track down stray cancer cells in patients with invasive brain tumours, thereby potentially reducing the risk of recurrence and improving life expectancy.
The hand-held device, called a Raman spectroscopy probe, was developed by researchers at McGill University for use by neurosurgeons in the removal of brain tumours called gliomas, which typically infiltrate healthy brain tissue.
Une sonde prometteuse mise au point à Montréal
Une nouvelle méthode mise au point par des chercheurs montréalais pourrait permettre aux patients atteints du cancer du cerveau de vivre plus longtemps.
Une équipe de l'Institut et Hôpital neurologiques de Montréal - le Neuro - et de Polytechnique Montréal, a conçu une sonde qui permet de détecter avec précision presque toutes les cellules cancéreuses invasives, en temps réel, durant une opération au cerveau.
Tumeur cérébrale - Une sonde révolutionnaire facilite l'ablation des cellules cancéreuses
Une nouvelle technologie pourrait redéfinir le terme « rémission » pour les patients atteints du cancer du cerveau.
Les patients atteints du cancer du cerveau pourraient vivre plus longtemps grâce à une nouvelle méthode de détection du cancer mise au point par des chercheurs de l'Institut et Hôpital neurologiques de Montréal – le Neuro, de l'Université McGill et du CUSM, et de Polytechnique Montréal. Les collaborateurs ont conçu une nouvelle sonde peropératoire puissante pour détecter des cellules cancéreuses. Grâce à la sonde portative de spectroscopie Raman, les chirurgiens peuvent maintenant détecter avec précision presque toutes les cellules cancéreuses invasives en temps réel durant l'opération. La sonde est supérieure à la technologie existante et pourrait établir une nouvelle norme pour la réussite des opérations du cancer du cerveau.