Tumeur cérébrale - Une sonde révolutionnaire facilite l'ablation des cellules cancéreuses

Carrefour de l’actualité, Polytechnique Montreal website, 11 février 2015

Une nouvelle technologie pourrait redéfinir le terme « rémission » pour les patients atteints du cancer du cerveau.

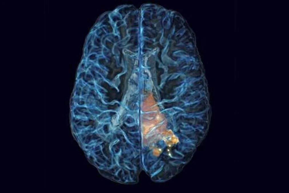
Les patients atteints du cancer du cerveau pourraient vivre plus longtemps grâce à une nouvelle méthode de détection du cancer mise au point par des chercheurs de l'Institut et Hôpital neurologiques de Montréal – le Neuro, de l'Université McGill et du CUSM, et de Polytechnique Montréal. Les collaborateurs ont conçu une nouvelle sonde peropératoire puissante pour détecter des cellules cancéreuses. Grâce à la sonde portative de spectroscopie Raman, les chirurgiens peuvent maintenant détecter avec précision presque toutes les cellules cancéreuses invasives en temps réel durant l'opération. La sonde est supérieure à la technologie existante et pourrait établir une nouvelle norme pour la réussite des opérations du cancer du cerveau. 

 
Previous
Previous

Raman Technique Helps Surgeons Excise Brain Cancer

Next
Next

Une sonde pour détecter le cancer du cerveau